‹ › ×

     

    DOCTEURS ALAIN & JOHAN HAERRI

    MEDECINS DENTISTES SVMD-SSO-SVM

    Bienvenue
    • Team
    • Visite
    • Contact
    • Traitements
      • Traitements conservateurs, composite, blanchiment
      • Parodontie, soins des gencives
      • Chirurgie, implant
      • Prothèse fixée, couronne, facette
      • Douleurs faciales, musculaires et articulaires
      • Prothèse amovible
      • Tarification
    • Lien
    • Hobbies
      • Montagne
      • Astronomie
      • Quelques réalisations

    Traitements conservateurs:

     

    Ce sont les traitements qui visent à conserver la dent avec des techniques simples, éprouvées depuis de nombreuses années.

     

    - De nouveaux composites (résines blanches) permettent avantageusement de reconstruire une dent cariée de façon étanche et esthétique.

     

     

    En voici quelques exemples:

    cliquer sur les photos pour faire apparaître les commentaires

    anicenne obturation en composite
    fraisage léger de la dent
    le nouveau composite en place
    molaire avec une ancienne obturation déféctueuse
    après ablation de la vieille obturation
    nouveau composite en place
    ancien amalgame
    dépose des amalgames sous digue
    nouveaux composites en place

     

     

     

    - Traitement des colorations:

     

    Lorsqu'une dent est colorée ou tachée elle peut être blanchie de différentes façons, la technique utilisée dépend essentiellement de l'origine de cette coloration. 

     

    1) Une coloration présente depuis toujours sur une dent qui n'a jamais été traitée peut être blanchie avec des gels de blanchiment appliqué sur la surface de l'émail. On distingue deux sortes de blanchiment externes:

     

    - Le "home bleaching" :  Une gouttière en résine molle est fabriquée à partir d'une empreinte. Un gel de blanchiment à base d'eau oxygénée est déposé à l'intérieur de la gouttière. L'adaptation de la gouttière est primordiale si on ne veut pas que le gel abîme les gencives.  Le blanchiment se fait à la maison de façon progressive. Le résultat est visible généralement au bout de 3 à 4 semaines déjà.

     

    - Le blanchiment peut aussi se faire au cabinet dentaire, les gels utilisés sont un peu plus concentrés en eau oxygénée. Le blanchiment est plus rapide mais vous  êtes dépendant du médecin-dentiste.

    Pour cette raison, nous recommandons le "home bleaching", il est moins onéreux et vous pouvez le faire chez vous quand vous le voulez.

     

     

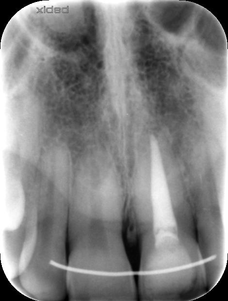
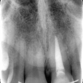
    2) Lorsque la décoloration est plus profonde, qu'elle est due par exemple à un traitement de racine, il est possible de blanchir la dent depuis l'intérieur. On parle de blanchiment interne.

    Une petite cavité est faite à l'arrière de la dent, un produit à base d'eau oxygénée est déposé à l'intérieur et laissé en place quelques semaines.

    Il faut répéter la séance 2 ou 3 fois. Puis la dent est rebouchée de façon hermétique avec un composite.

     

     

     

    En voici quelques exemples:

    cliquer sur les photos pour faire apparaître les commentaires

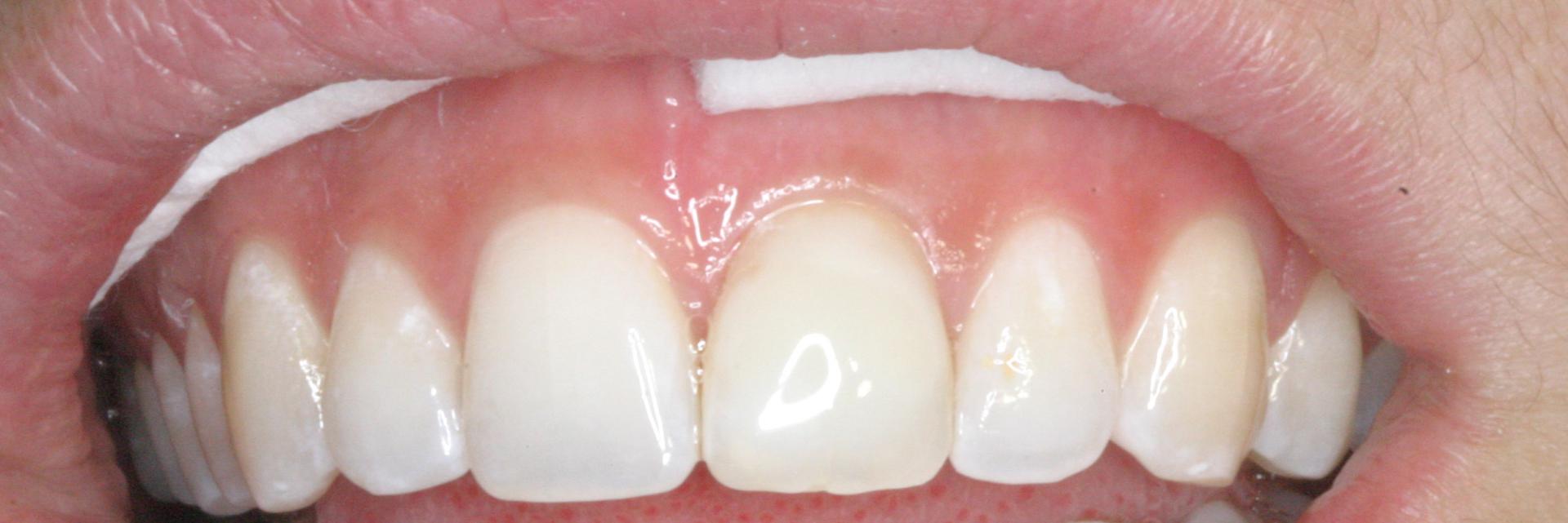
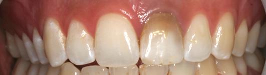
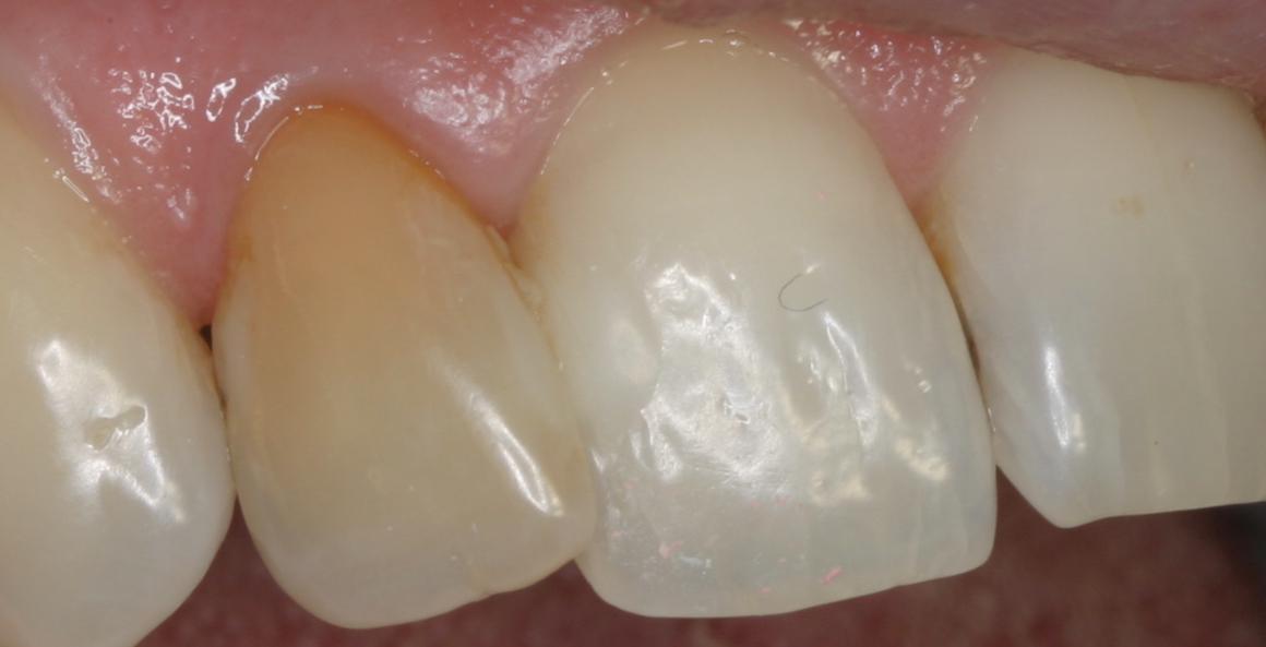
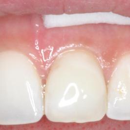
    Un ancien traitement de racine est présent sur l'incisive gauche
    Il a coloré la base de la dent
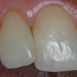
    Au bout de 2 mois et 4 séances de blanchiment interne
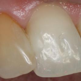
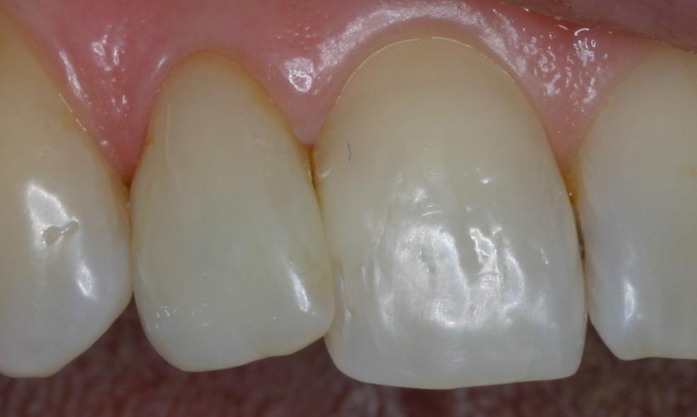
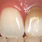
    Discoloration due à un traitement de racine
    Après 1 mois et 2 séances de blanchiment interne

    Accueil

    Equipe

    Visite

    Plan

    Rendez-vous

    Urgence

    Tarif

    Lien

    Soins conservateurs

    Soins des gencives

    Prothèse fixe

    Chirurgie, implant, greffe, sinus lift

    Douleurs faciales

    Montagne

    Astronomie

    Quelques réalisations

    Cabinet dentaire Drs Alain & Johan Haerri

    Rue Centrale 9

    1003 Lausanne

    +41 21 312 63  35

    haerri.cabinetdentaire@bluewin.ch