‹ › ×

     

    DOCTEURS ALAIN & JOHAN HAERRI

    MEDECINS DENTISTES SVMD-SSO-SVM

    Bienvenue
    • Team
    • Visite
    • Contact
    • Traitements
      • Traitements conservateurs, composite, blanchiment
      • Parodontie, soins des gencives
      • Chirurgie, implant
      • Prothèse fixée, couronne, facette
      • Douleurs faciales, musculaires et articulaires
      • Prothèse amovible
      • Tarification
    • Lien
    • Hobbies
      • Montagne
      • Astronomie
      • Quelques réalisations

     

    Prothèse fixe (les couronnes ou facettes en céramique)

     

    La prothèse fixée permet de reconstruire une dent très délabrée, accidentée, inesthétique ou de remplacer une dent manquante. Cette prothèse est fixée définitivement sur la dent au moyen d'un ciment. En voici quelques exemples:

     

     

    cliquer sur les photos pour faire apparaître les commentaires

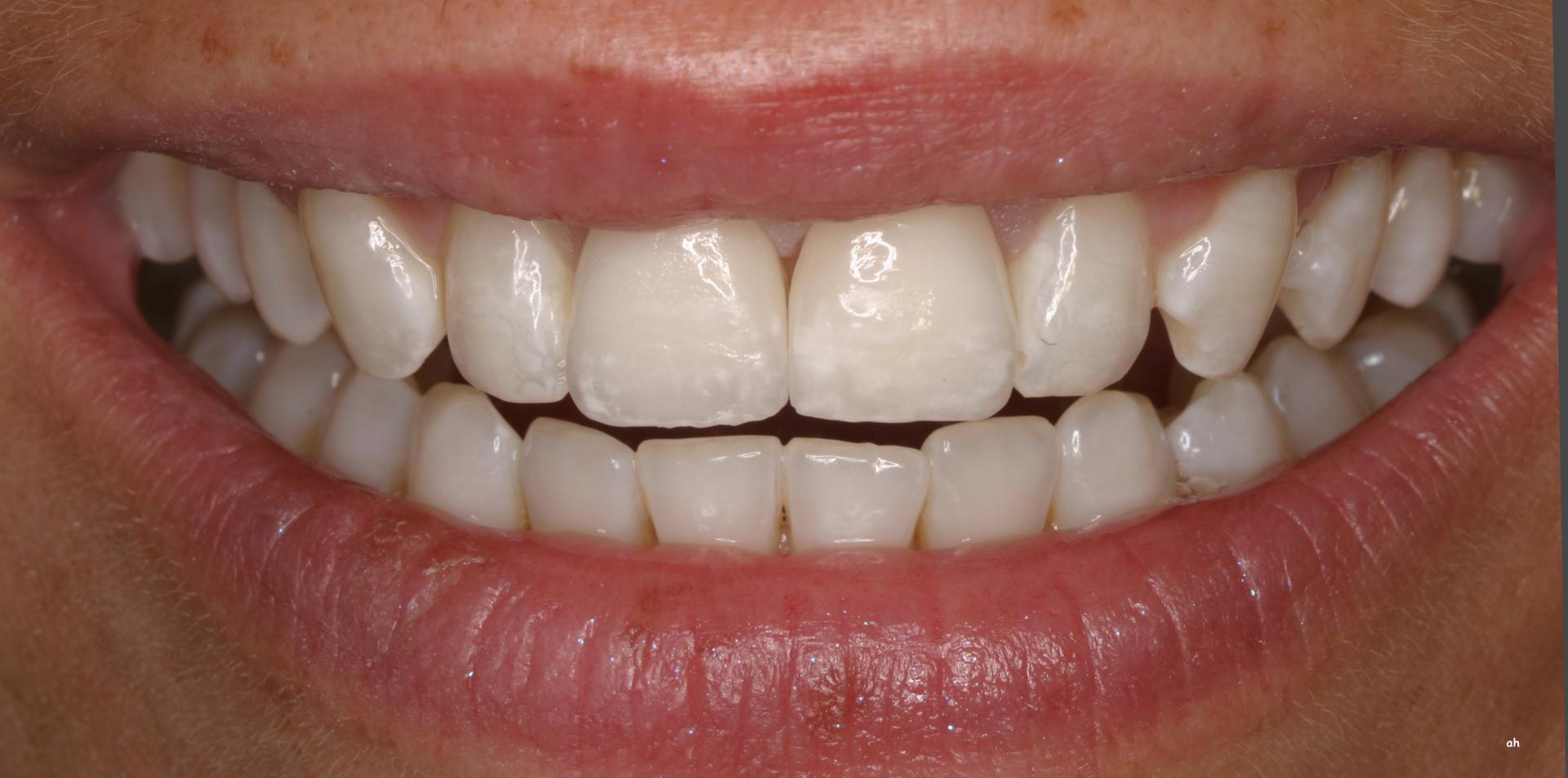
    Le technicien dentiste confectionne dans son laboratoire les facettes, couronnes ou ponts en céramique.
    Il reproduit le plus fidèlement possible la forme, la teinte et la transparence des dents.
    Afin de donner l'illusion d'une vraie dent, il crée aussi quelques imperfections à l'intérieur de la céramique.
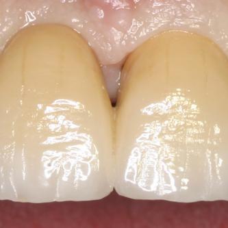
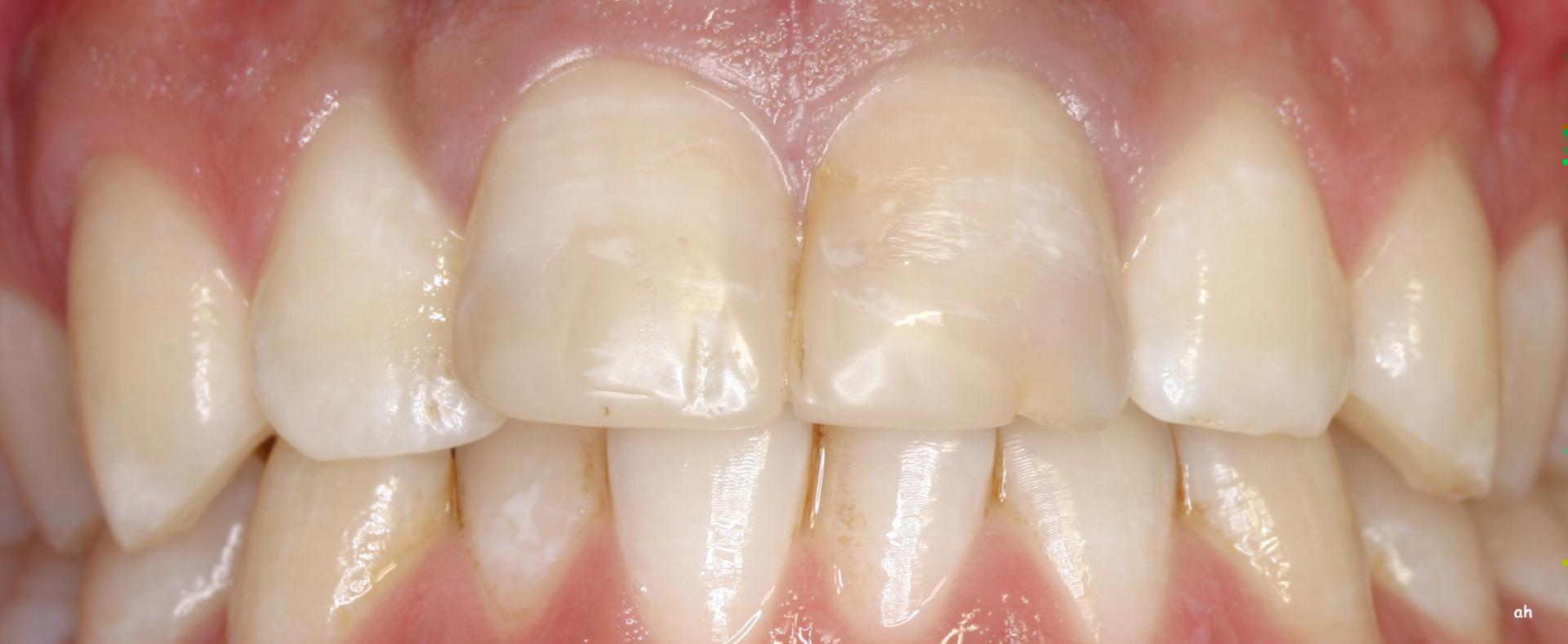
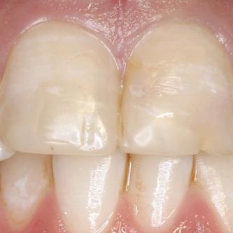
    Exemple 1: Situation de départ: anciennes résines composites mal adaptées et de teinte trop uniforme.
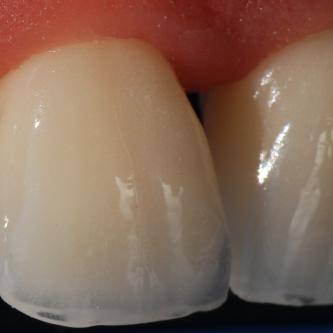
    Exemple 1: Ablation des anciennes résines, taille légère des dents puis empreinte.
    Exemple 1: Les facettes en céramique sont réalisées au laboratoire sur un modèle en platre.
    Exemple 1: Les facettes en céramique sont collées sur les dents.
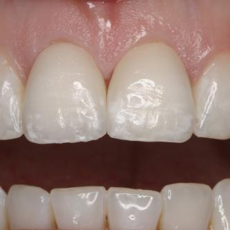
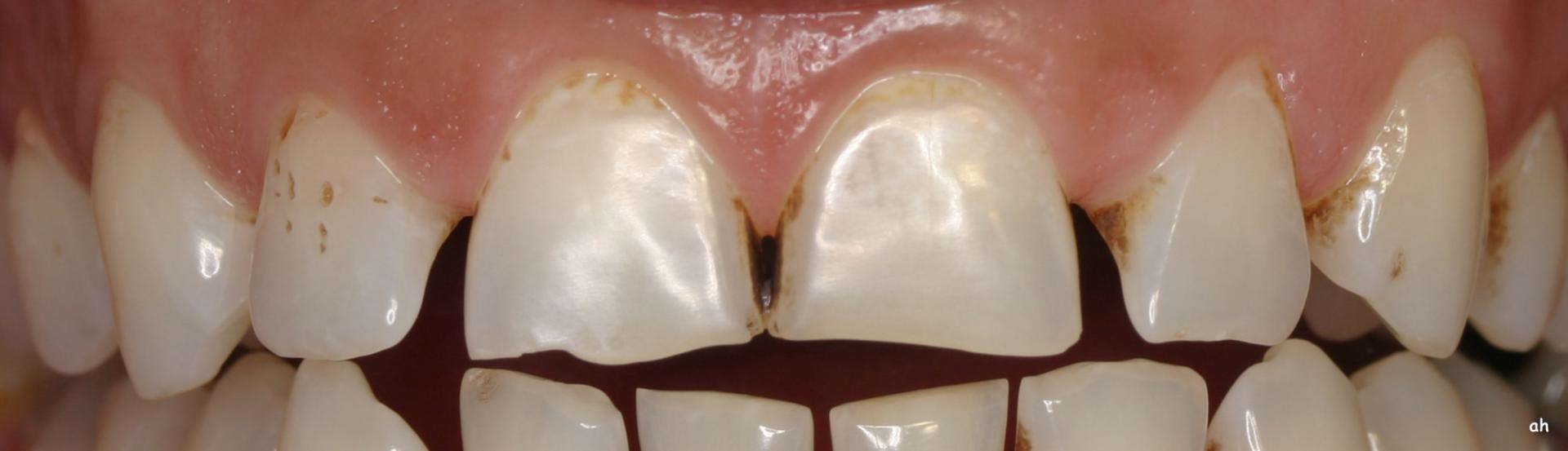
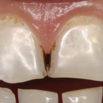
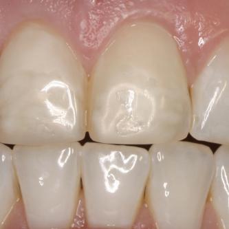
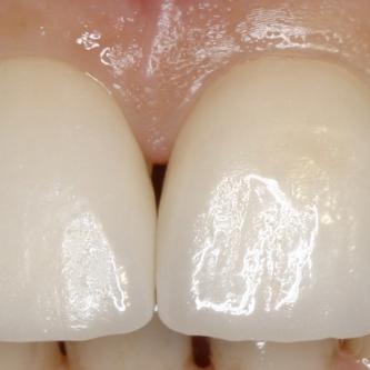
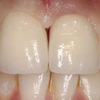
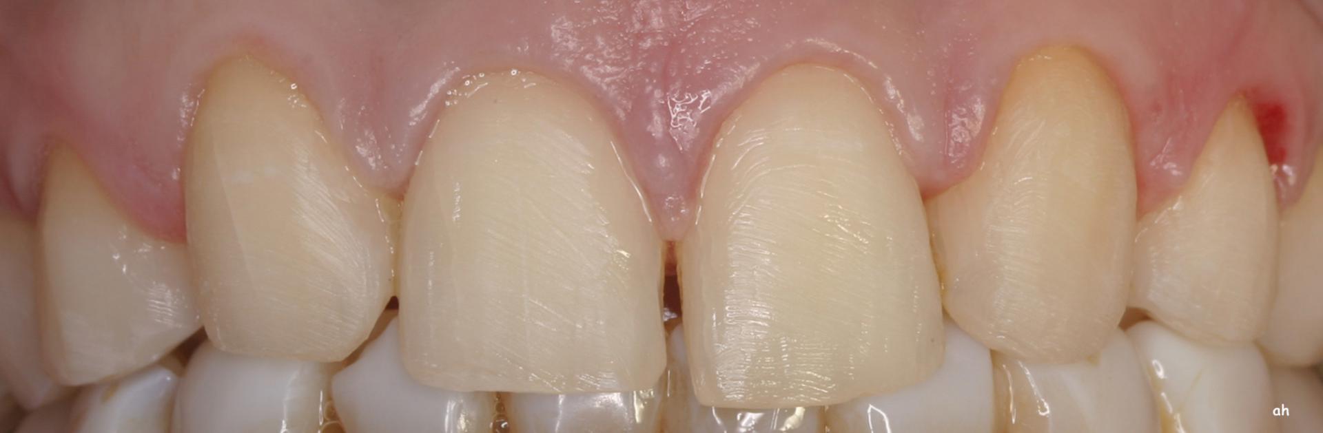
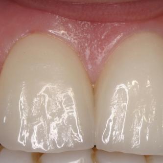
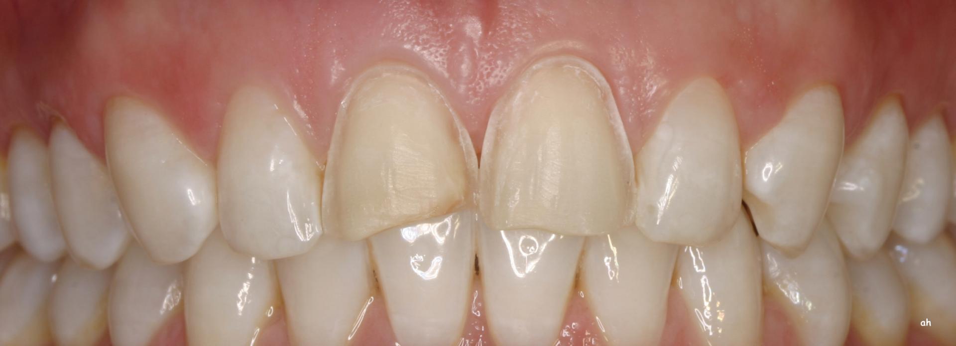
    Exemple 2: Situation de départ; suite à un accident, les incisives centrales ont été réparées avec de la résine.Après 10 ans, ces résines vont être changées par des facettes en céramique
    Exemple 2: Les dents sont légèrement taillées, notez les anciens traits de fractures.
    Exemple 2: L'empreinte est réalisée en bouche puis elle est donnée au laboratoire.
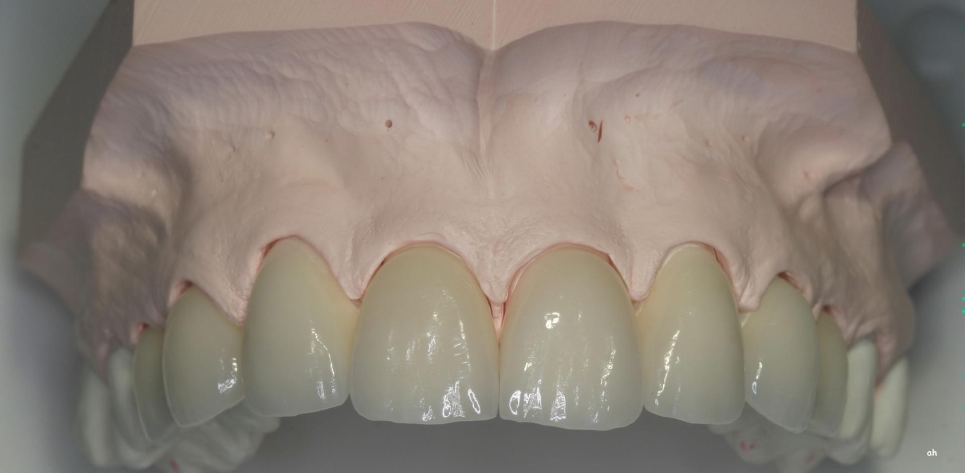
    Exemple 2: Les facettes réalisées au laboratoire.
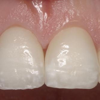
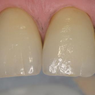
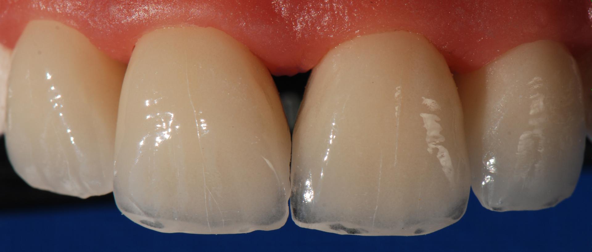
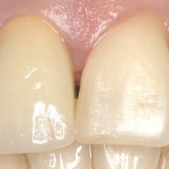
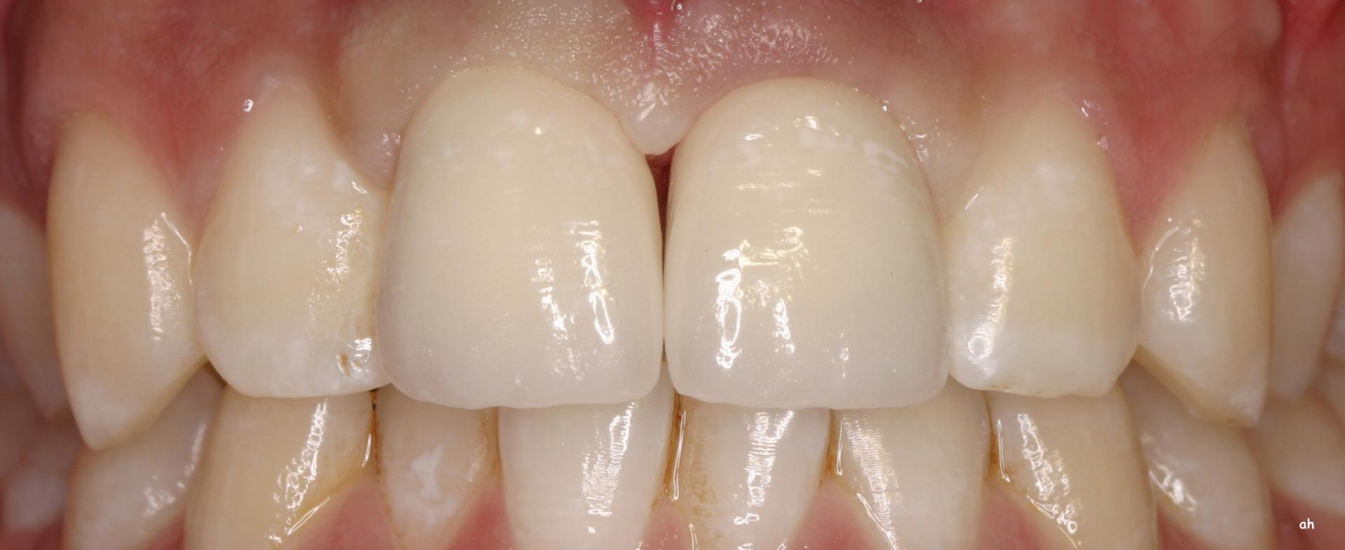
    Exemple 2: Les facettes en place.
    Exemple 2: Les facettes en place.
    Exemple 2: Les facettes en place.
    Exemple 3
    Exemple 3
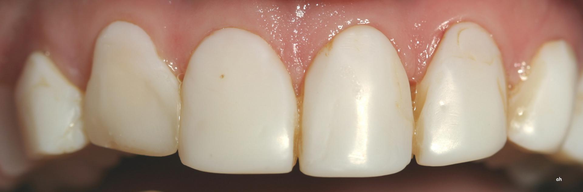
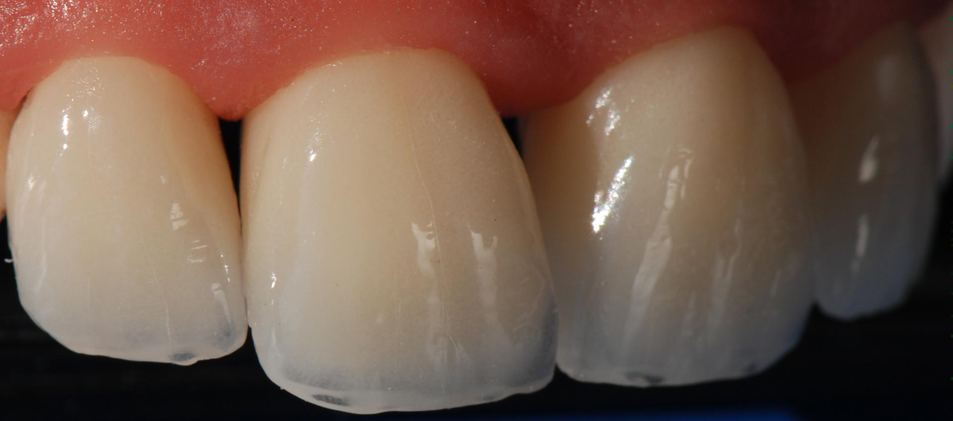
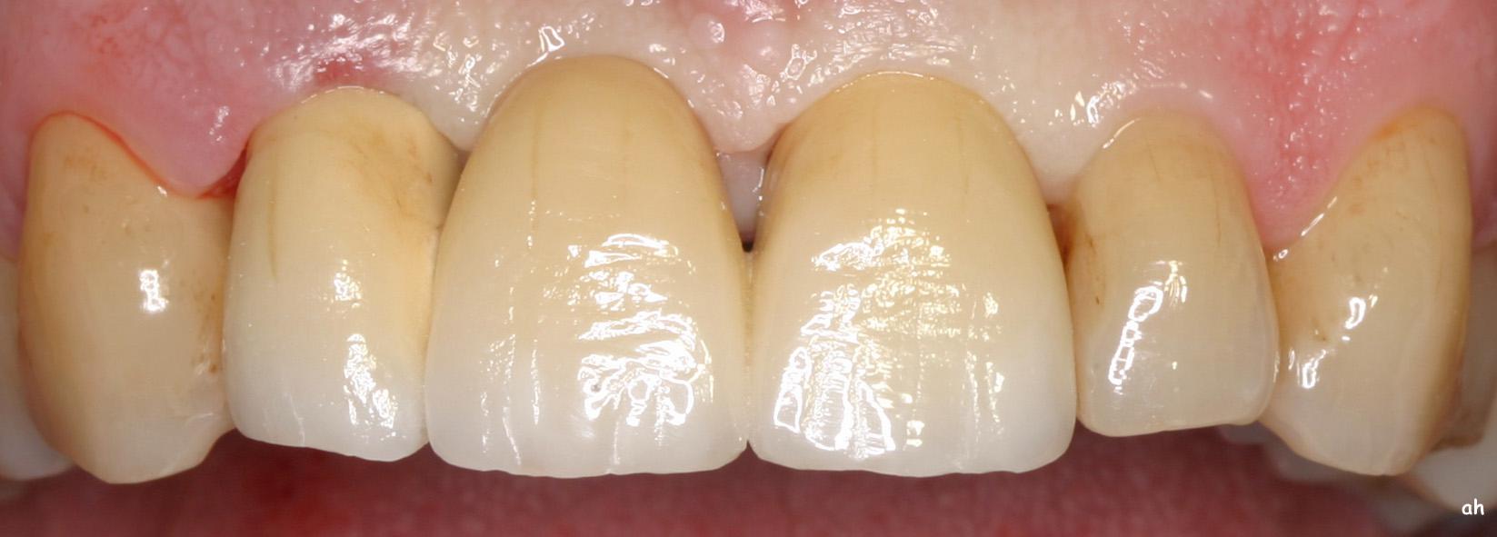
    Exemple 4: Situation de départ: ancienne couronne dont le bord est visible, racine devenue noire, résines mal adaptées et caries.
    Exemple 4: Les dents ont été taillées, les traitements de racine réobturés, une empreinte suivie de la réalisation au laboratoire des couronnes en céramique.
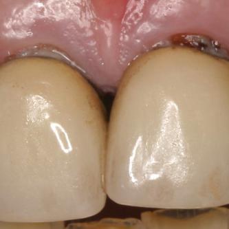
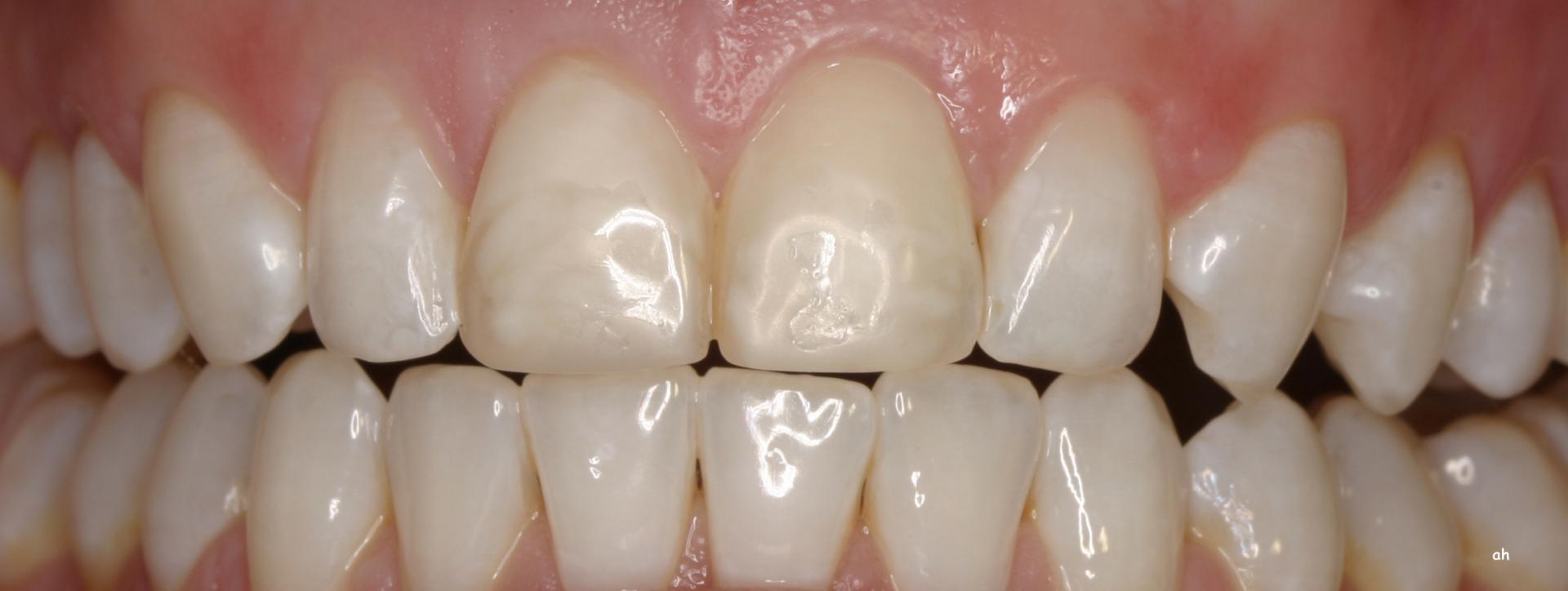
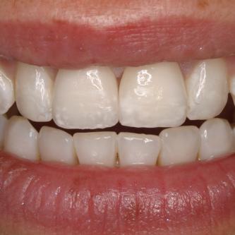
    Exemple 4: Les couronnes scellées sur les 4 incisives.
    Exemple 5: Situation de départ: 4 anciennes couronnes mal adaptées, dont les bords sont visibles, et caries au niveau des racines.
    Exemple 5: Ablation des anciennes couronnes, taille des moignons puis empreinte.
    Exemple 5: Les couronnes réalisées au laboratoire sont placées sur les dents.
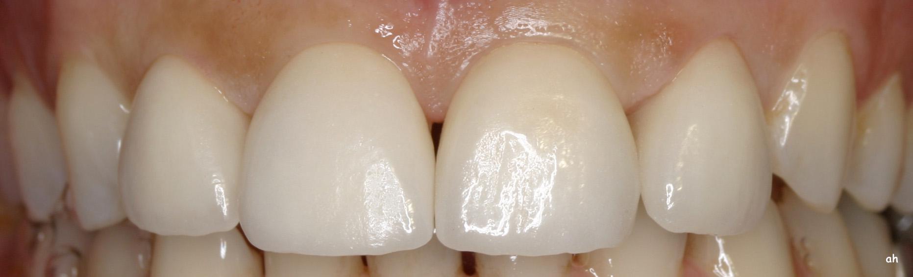
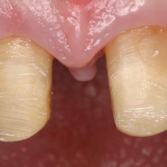
    Exemple 6: Suite à un accident, les incisives centrales ont été réparées avec de la résine, ces résines vont être changées par des couronnes en céramique.
    Exemple 6: Les couronnes en place.
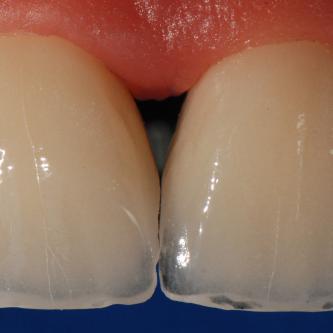
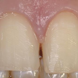
    Exemple 7: Situation de départ: cette patiente aimerait fermer ses espaces interdentaires.
    Exemple 7: Taille légère des 4 incisives.
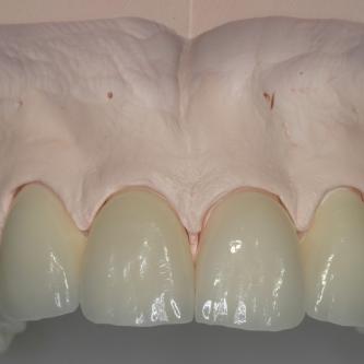
    Exemple 7: Les facettes en céramique réalisées au laboratoire.
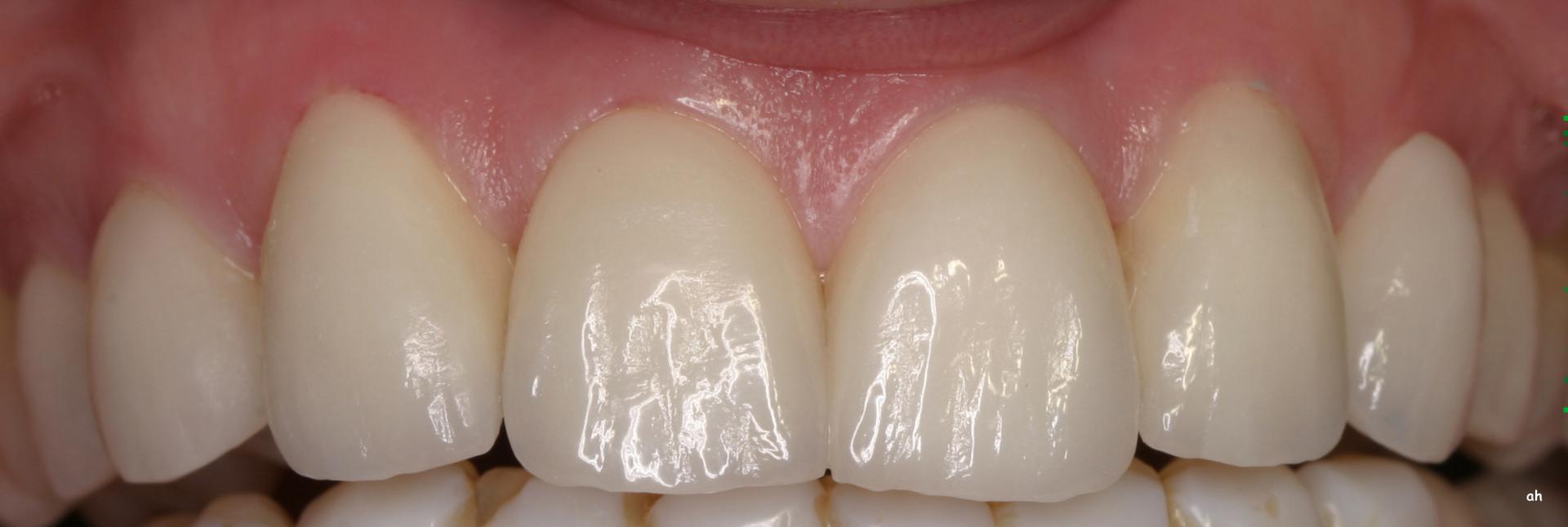
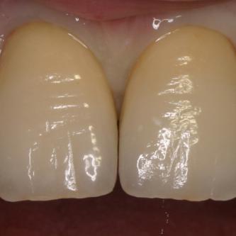
    Exemple 7: Les facettes en place.
    Exemple 8: Situation de départ: cas complexe avec des incisives de largeur et de longueur différentes, caries, teintes différentes.
    Exemple 8: Une couronne en céramique est réalisée sur l'incisive droite, une résine composite sur celle de gauche.
    Exemple 9: Suite à un accident, ce patient a perdu son incisive centrale droite, les incisives juxtaposées sont taillées, une empreinte est réalisée.
    Exemple 9: Un pont en céramique est réalisé au laboratoire.
    Exemple 9: Le pont en place.

    Accueil

    Equipe

    Visite

    Plan

    Rendez-vous

    Urgence

    Tarif

    Lien

    Soins conservateurs

    Soins des gencives

    Prothèse fixe

    Chirurgie, implant, greffe, sinus lift

    Douleurs faciales

    Montagne

    Astronomie

    Quelques réalisations

    Cabinet dentaire Drs Alain & Johan Haerri

    Rue Centrale 9

    1003 Lausanne

    +41 21 312 63  35

    haerri.cabinetdentaire@bluewin.ch