‹ › ×

     

    DOCTEURS ALAIN & JOHAN HAERRI

    MEDECINS DENTISTES SVMD-SSO-SVM

    Bienvenue
    • Team
    • Visite
    • Contact
    • Traitements
      • Traitements conservateurs, composite, blanchiment
      • Parodontie, soins des gencives
      • Chirurgie, implant
      • Prothèse fixée, couronne, facette
      • Douleurs faciales, musculaires et articulaires
      • Prothèse amovible
      • Tarification
    • Lien
    • Hobbies
      • Montagne
      • Astronomie
      • Quelques réalisations

    Chirurgie, implant, sinus lift:

     

    L'extraction des dents de sagesses incluses, la pose d'implant, les greffes osseuses ou les sinus lift sont des opérations que nous pratiquons couramment.

     

    Un implant est une racine dentaire artificielle en titane. Mis en place dans l'arcade dentaire et généralement surmonté d'un pilier, il permet de remplacer une dent manquante.

     

    La particularité du titane dont sont constitués les impants est de s'intégrer parfaitement au sein de l'os. Le titane est biocompatible, il n'y a donc pas rejet.

     

    Pour insérer cet implant dans la machoire, il faut environ 10mm d'os en hauteur et 6 à 7mm en épaisseur. Quelques radiographies sont indispensables afin de diagnostiquer cette quantité d'os disponible.

     

    L'intégration de l'implant dans l'os se fait en 6 à 12 semaines, pendant ce laps de temps il est préférable de ne pas trop charger l'implant. Plus tard une empreinte est effectuée, le laboratoire confectionne une couronne en céramique que l'on fixera sur l'implant.

     

    Les implants sont une alternative fiable et économique à la pose d'un pont ou d'un appareil amovible.

     

    En voici quelques exemples:

     

     

    cliquer sur les photos pour faire apparaître les commentaires

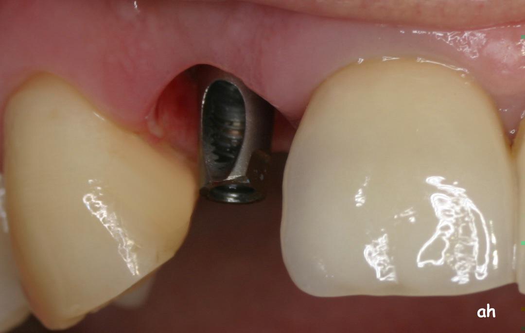
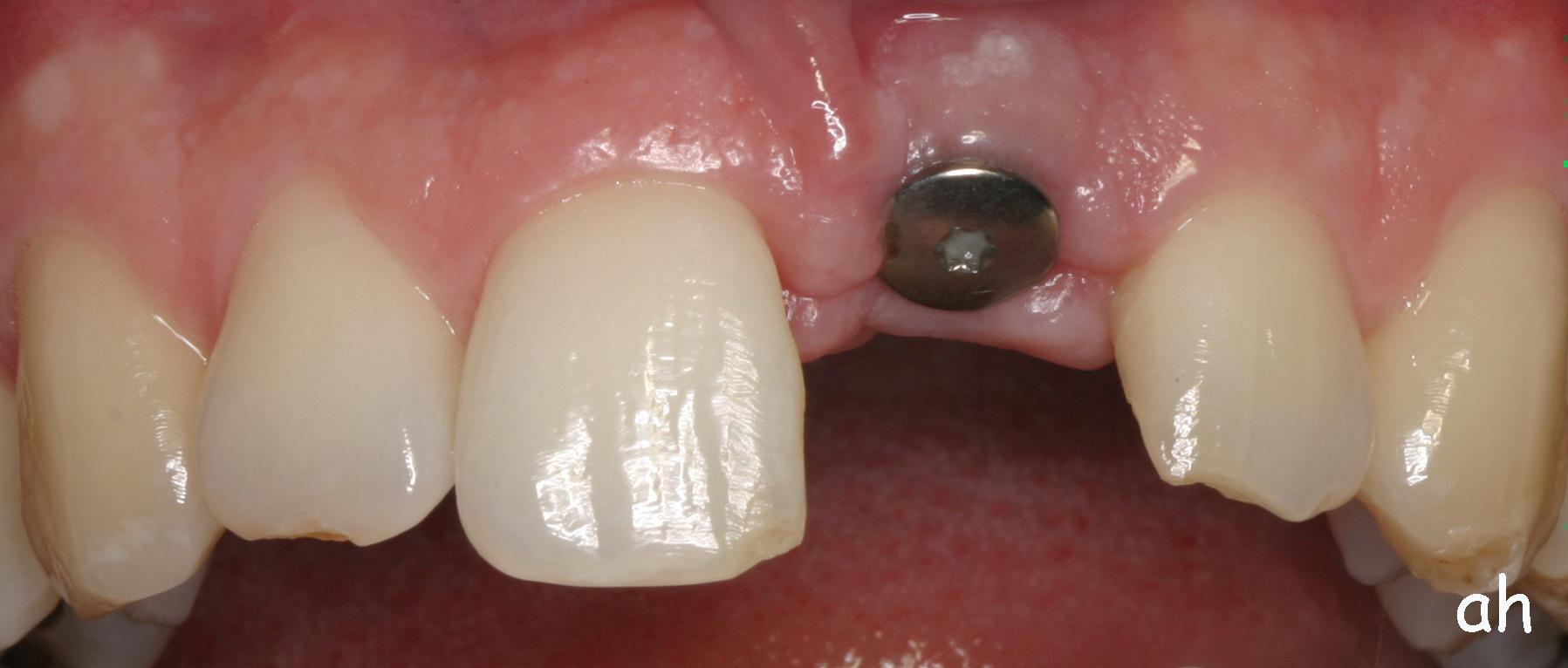
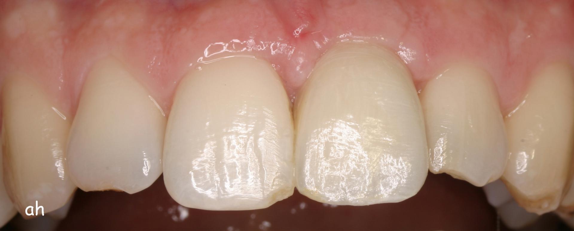
    Exemple 1: Ce patient a perdu son incisive centrale gauche lors d'un accident. Un implant a été posé
    Exemple 1: L'implant remplace la racine de la dent manquante
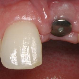
    Exemple 1: L'implant s'est intégré dans l'os, une empreinte est effectuée. Le laboratoire peut réaliser la couronne en céramique.
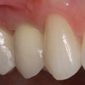
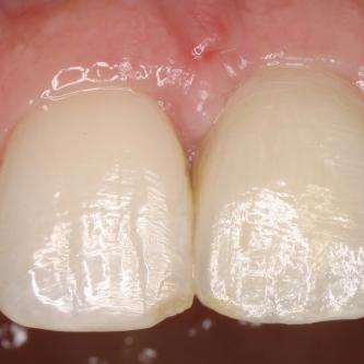
    Exemple 1: résultat final.
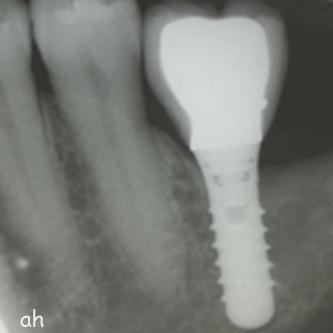
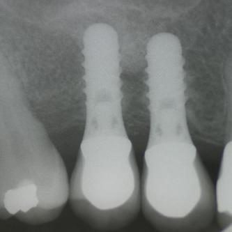
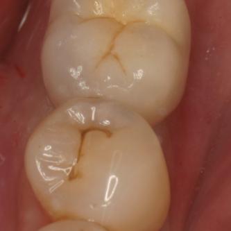
    Exemple 2: Un implant remplaçant la racine d'une molaire inférieure gauche.
    Exemple 2: La couronne en céramique scellée sur cet implant.
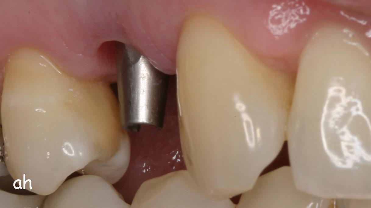
    Exemple 3: Un implant à la place d'une incisive latérale supérieure droite. Sur cette image on voit le moignon en titane qui est vissé sur l'implant.
    Exemple 3: Puis sur ce moignon, la couronne en céramique est scellée.
    Exemple3: La couronne en place.
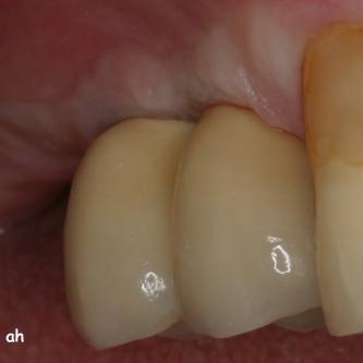
    Exemple 4: Un implant au niveau d'une prémolaire supérieure gauche.
    Exemple 4: La couronne céramique sur l'implant.
    Exemple 5: Un implant au niveau d'une molaire inférieure gauche.
    Exemple 5: Le moignon en titane est vissé sur l'implant.
    Exemple 5: La couronne céramique est réalisée au laboratoire.
    Exemple 6
    Exemple 6
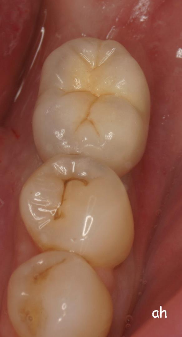
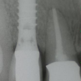
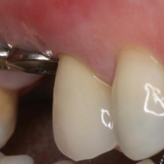
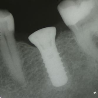
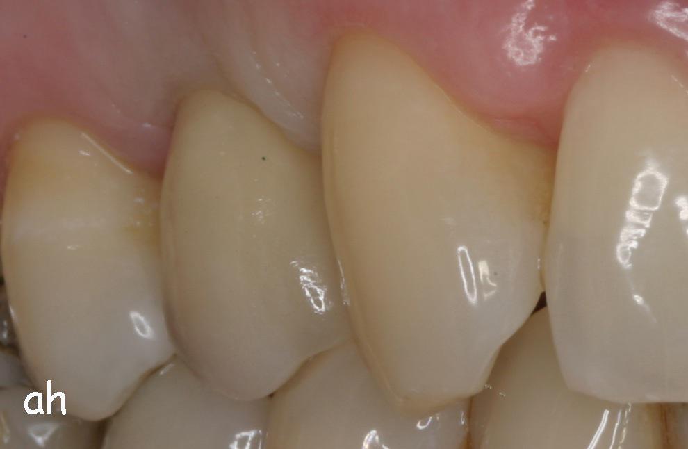
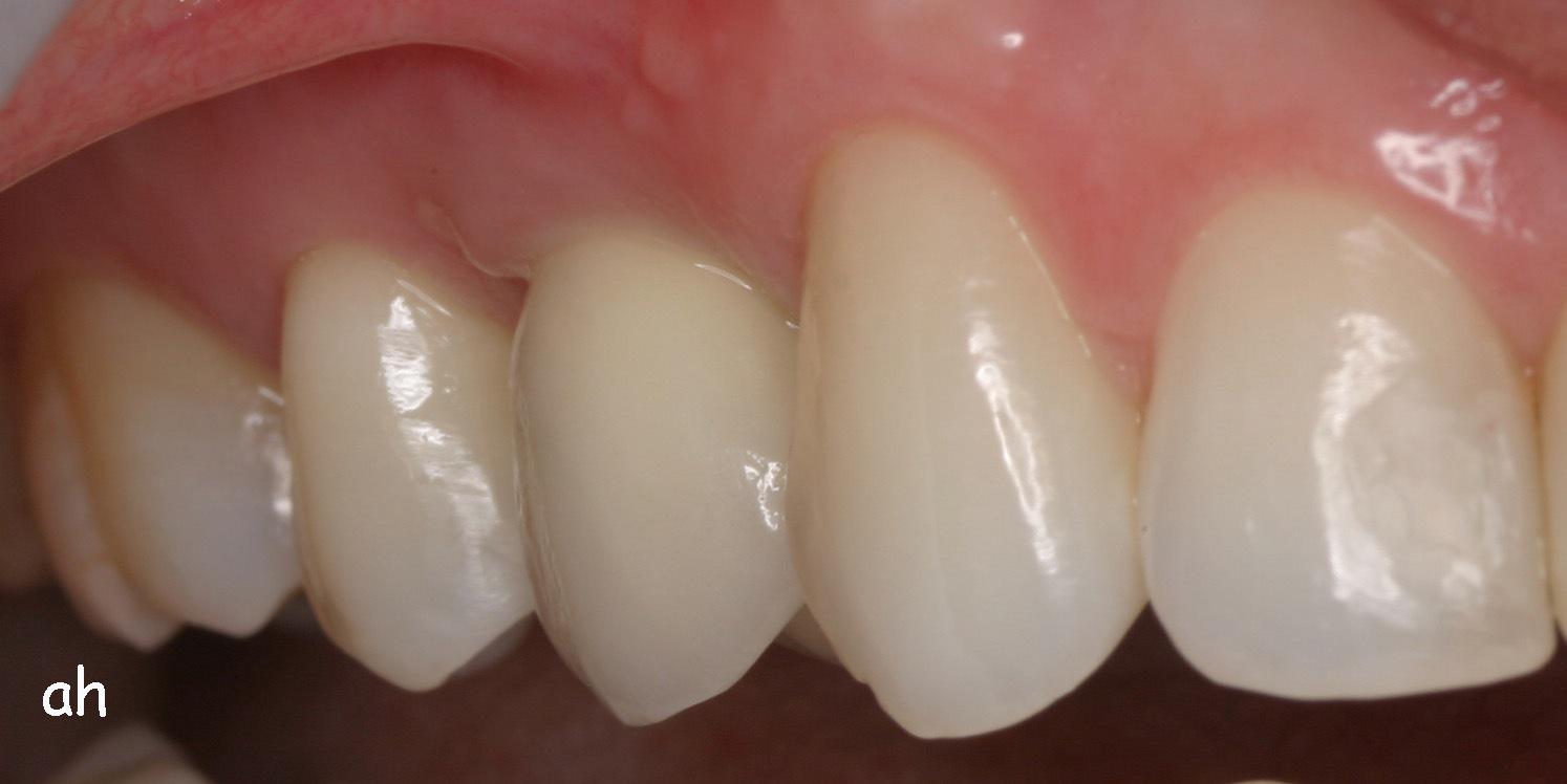
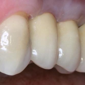
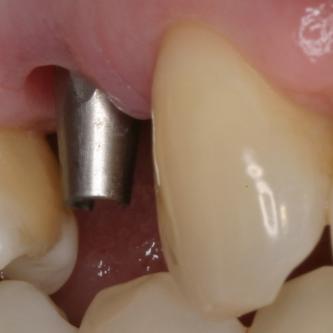
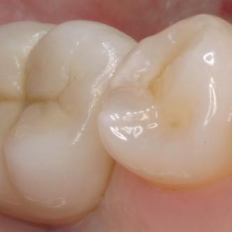
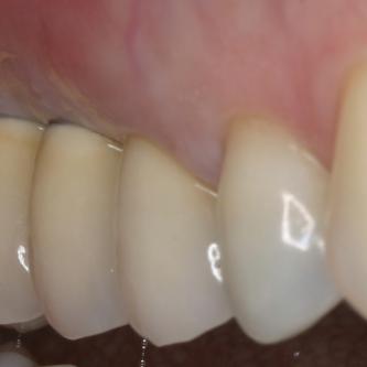
    Exemple 7: Un implant au niveau de la deuxième prémolaire inférieure gauche.
    Exemple 7: Le moignon vissé sur l'implant.
    Exemple 7: La couronne en place
    Exemple 7: vue depuis dessus
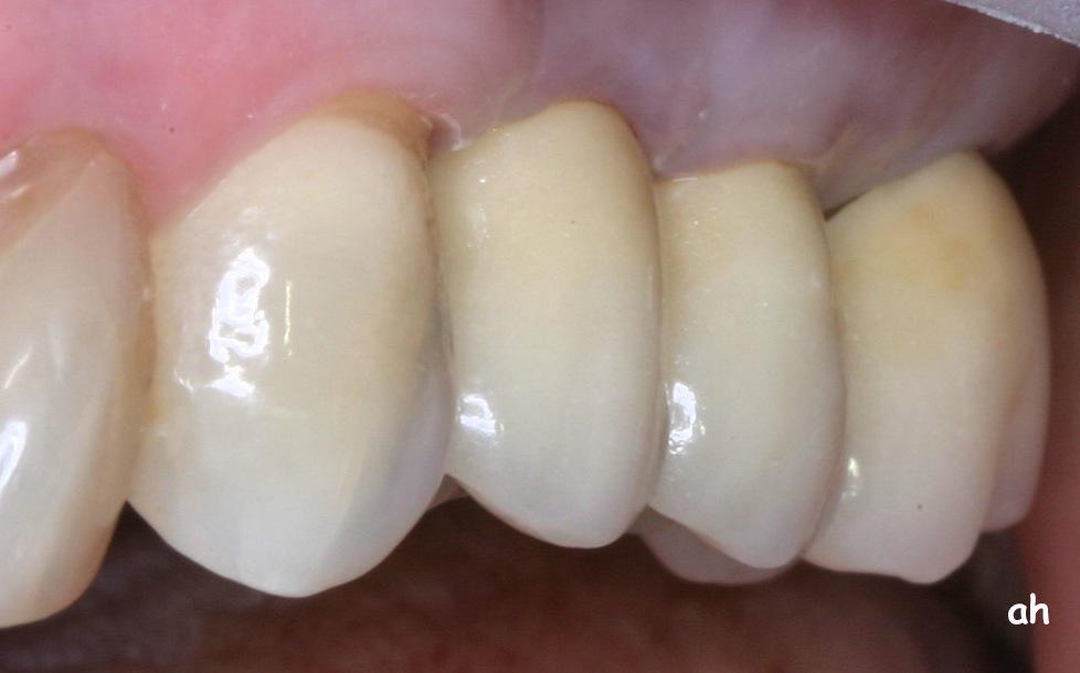
    Exemple 8: Un implant au niveau de la prémolaire supérieure droite.
    Exemple 8
    Exemple 8: La couronne en place.
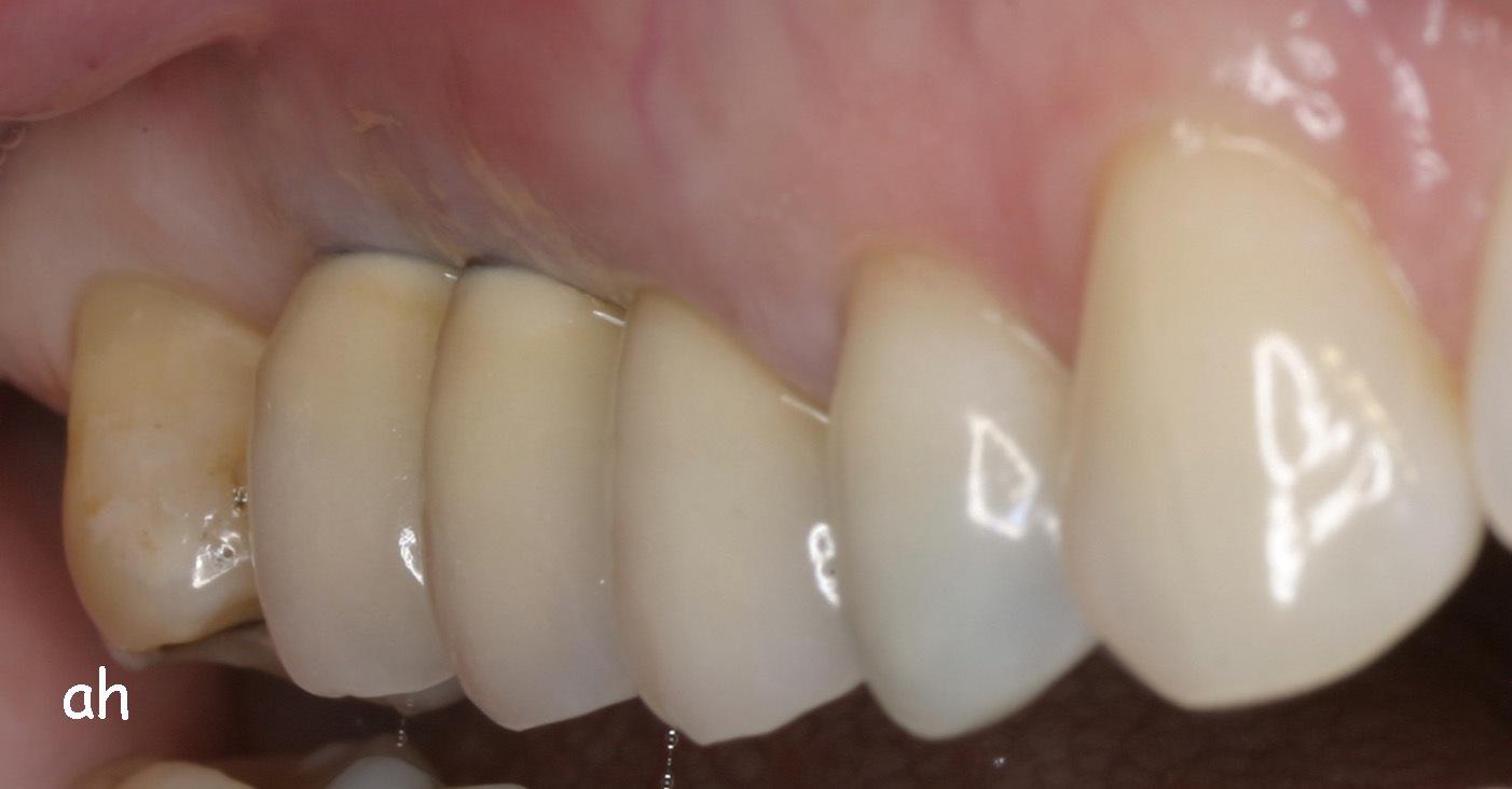
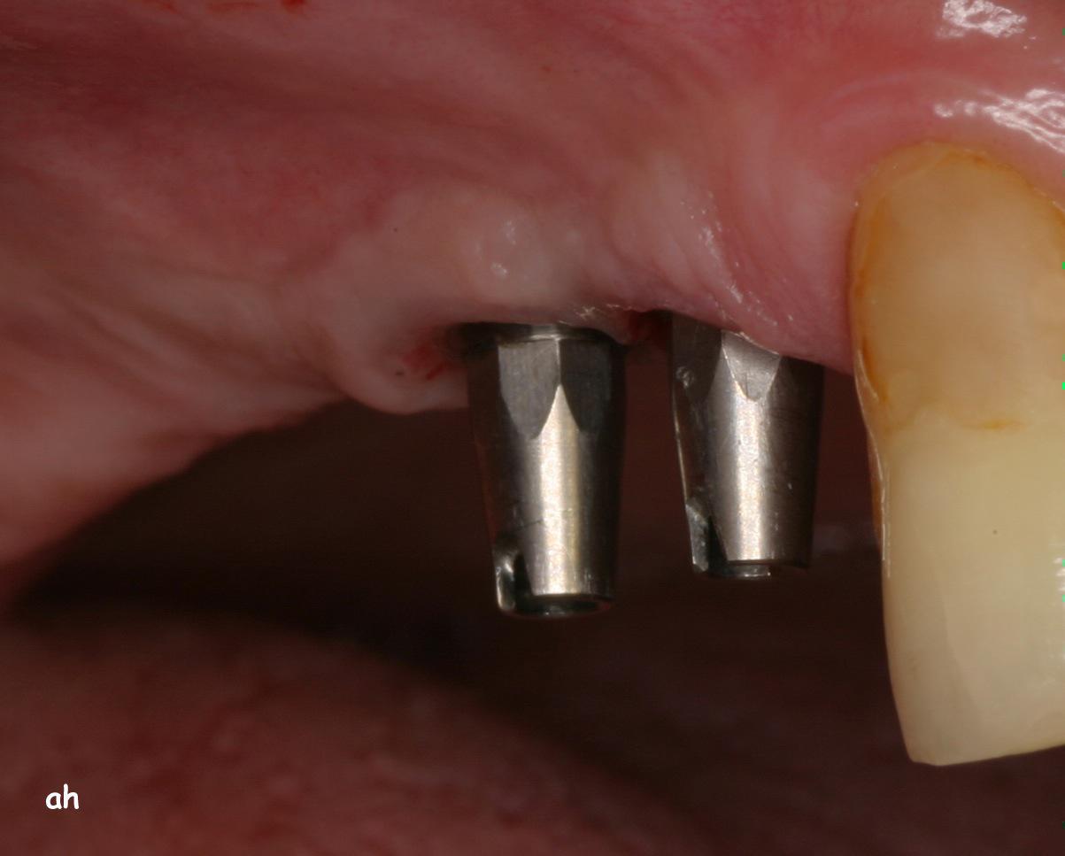
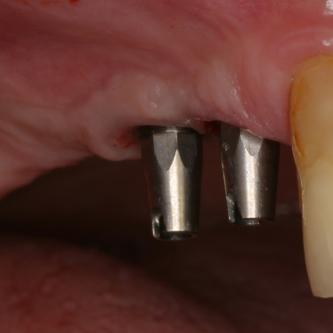
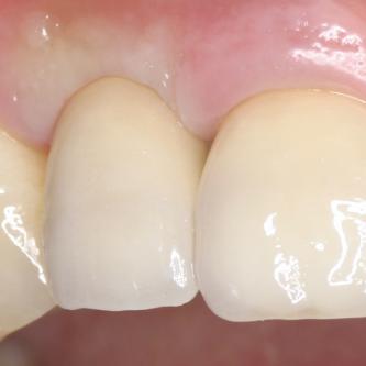
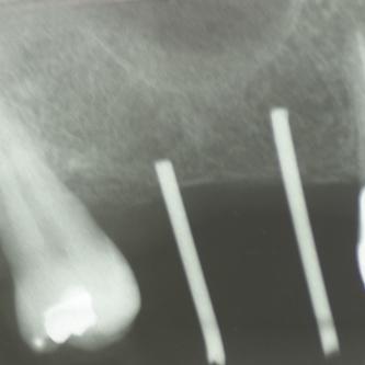
    Exemple 9: Un cas complexe, 3 implants on été mis au niveau de la mandibule.
    Exemple 9: Une barre est vissée sur ces 3 implants.
    Exemple 9: Puis un appareil amovible est fixé sur cette barre.
    Exemple 10: En cours d'implantation
    Exemple 10
    Exemple 10
    Exemple 10
    Exemple 11: Pendant l'implantation on remarque un manque d'os sur la partie externe, les spires de l'implant sont visibles.
    Exemple 11: Une greffe d'os est effectuée afin de compenser l'épaisseur d'os manquante.
    Exemple 11: Le tout est recouvert d'une membrane collagène.
    Exemple 11: Après cicatrisation environ 6 mois, le moignon est vissé sur l'implant.
    Exemple 11: La couronne céramique en place.
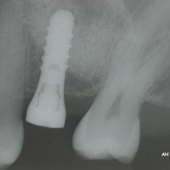
    Exemple 12: Ici la pose de deux implants est envisagée, mais la hauteur d'os est insuffisante pour le deuxième implant. Le sinus (qui est une cavité creuse) est à moins de 6 mm de la surface de l'os. Idéalement il faudrait 10 mm d'os.
    Exemple 12: Il faut donc relevé le sinus avec une greffe d'os avant de poser l'implant (Sinus lift).
    Exemple 12: Les moignons vissés sur les implants 6 mois plus tard.
    Exemple 12: Les couronnes en place.
    Exemple 12
    Exemple 13
    Exemple 13
    Exemple 13
    Exemple 13
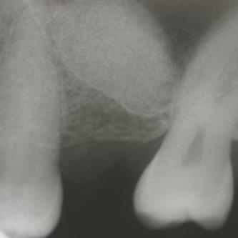
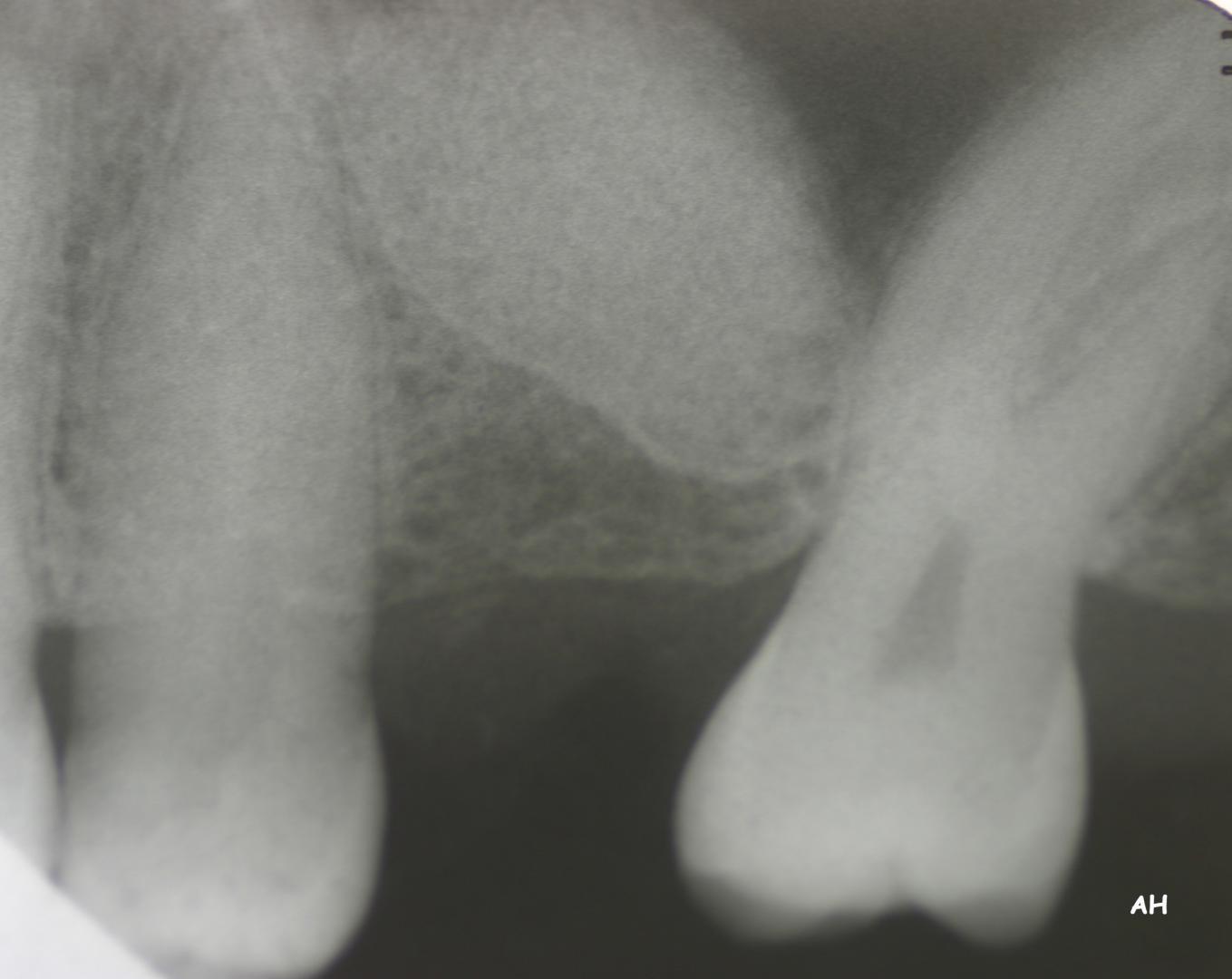
    Exemple 14: Il est prévu de mettre un implant entre la molaire et prémolaire, mais le sinus se trouve à moins de 4 mm de la surface. Il faut donc relever le sinus avec une greffe d'os
    Exemple 14: Un petit puits d'accès est créé afin d'atteindre le sinus, notez la membrane sinusienne.
    Exemple 14: La fine membrane sinusienne est relevée, puis de l'os mélangé à de l'os artificiel est introduit dans la cavité.
    Exemple 14
    Exemple 14: La cavité est maintenant remplie.
    Exemple 14: Radiographie post chirurgicale.
    Exemple 14: 6 mois plus tard, l'implant est introduit dans cette greffe sans toucher le sinus.

    Accueil

    Equipe

    Visite

    Plan

    Rendez-vous

    Urgence

    Tarif

    Lien

    Soins conservateurs

    Soins des gencives

    Prothèse fixe

    Chirurgie, implant, greffe, sinus lift

    Douleurs faciales

    Montagne

    Astronomie

    Quelques réalisations

    Cabinet dentaire Drs Alain & Johan Haerri

    Rue Centrale 9

    1003 Lausanne

    +41 21 312 63  35

    haerri.cabinetdentaire@bluewin.ch